Anti-Aging Drug Passes First Human Trial
Viswamitra Jayavant - Mar 01, 2019
A potentially revolutionary step had been made in human's battle against aging. Researchers have successfully tested an anti-aging drug on humans for the first time.
- German University Is Paying People Rs 140,000 For Doing Nothing
- This Concrete Is Genuinely "Scared" Of Liquids, Bouncing Them Off Immediately
- For The First time Ever, Humans Have Been Placed In Suspended Animation
Since prehistoric times, humans have always been most enthusiastic about the prospect of cheating death. Though most attempts in the past only ended up in failures. And in some cases, even quicker death than without. Researchers at the University of Texas in Austin had successfully tested an anti-aging drug on humans for the first time.
Though it’s common knowledge that all cells in our body will eventually die just like us. What people don't know is the fact that not all of the cells are replaced by our body.
They are senescent cells.

These cells are unable to divide and replicate, but they are still ‘alive’ by sending chemical signals. They are what we believe to be the chief perpetrator behind our natural aging process.

Early trials suggest that this assumption might be correct, after all.
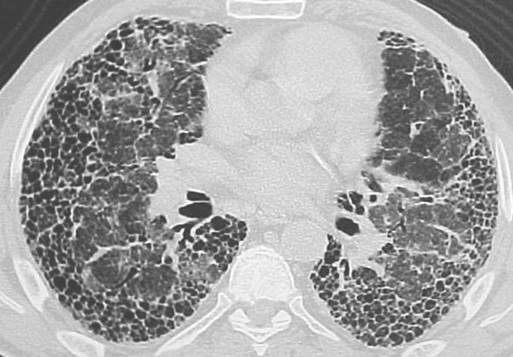
Way back in January 2019, Musi and his colleagues published a study on EBioMedicine journal on the results of a drug trial they conducted on 14 human patients. These patients suffer from Idiopathic Pulmonary Fibrosis (IPF), which is fatal by nature. Their only saving grace being a concoction of drugs that the researchers believed would eliminate senescent cells in their body. The drugs did not just ‘rejuvenate’ them in the literal sense; they were also especially useful at improving their state of health.

Dasatinib and Quercetin were administered to the patients in three weeks in nine doses, respectively a Leukemia drug and a type of supplement. They reported being able to walk at a farther distance than before at the end of the trial, and most importantly, feeling better in general. The researchers did not observe any substantial side effects following the trial.

Whenever it comes to a method that can potentially become an effective anti-aging therapy, we must take it with a grain of salt. Though these results are all positive and it’s worth getting excited over, we don't know the true effectiveness of the drugs in the long run just yet.
But worry not, that’s what the researchers are trying to find out. They have been feeling rather optimistic about the project. That’s why the next set of trials is in order. The list has also been updated with 15 more patients with lung issues, along with 20 other patients who suffer from chronic kidney disease.

Featured Stories
Features - Jan 29, 2026
Permanently Deleting Your Instagram Account: A Complete Step-by-Step Tutorial
Features - Jul 01, 2025
What Are The Fastest Passenger Vehicles Ever Created?
Features - Jun 25, 2025
Japan Hydrogen Breakthrough: Scientists Crack the Clean Energy Code with...
ICT News - Jun 25, 2025
AI Intimidation Tactics: CEOs Turn Flawed Technology Into Employee Fear Machine
Review - Jun 25, 2025
Windows 11 Problems: Is Microsoft's "Best" OS Actually Getting Worse?
Features - Jun 22, 2025
Telegram Founder Pavel Durov Plans to Split $14 Billion Fortune Among 106 Children
ICT News - Jun 22, 2025
Neuralink Telepathy Chip Enables Quadriplegic Rob Greiner to Control Games with...
Features - Jun 21, 2025
This Over $100 Bottle Has Nothing But Fresh Air Inside
Features - Jun 18, 2025
Best Mobile VPN Apps for Gaming 2025: Complete Guide
Features - Jun 18, 2025
A Math Formula Tells Us How Long Everything Will Live
Read more
Mobile- Feb 17, 2026
Anticipating the Samsung Galaxy S26 and S26+: Key Rumors and Specs
The Samsung Galaxy S26 series is on the horizon, sparking excitement among tech enthusiasts.
ICT News- Feb 18, 2026
Google's Project Toscana: Elevating Pixel Face Unlock to Rival Apple's Face ID
As the smartphone landscape evolves, Google's push toward superior face unlock technology underscores its ambition to close the gap with Apple in user security and convenience.
ICT News- Feb 19, 2026
Escalating Costs for NVIDIA RTX 50 Series GPUs: RTX 5090 Tops $5,000, RTX 5060 Ti Closes in on RTX 5070 Pricing
As the RTX 50 series continues to push boundaries in gaming and AI, these price trends raise questions about accessibility for average gamers.
Mobile- Feb 16, 2026
Xiaomi Launches Affordable Tracker to Compete with Apple's AirTag
For users tired of ecosystem lock-in or high prices, the Xiaomi Tag represents a compelling, no-frills option that delivers core functionality at a fraction of the cost.
Comments
Sort by Newest | Popular